-
Introduction
-
- Unirse a este curso para acceder a recursos
-
La MIH
-
Les pathologies bucco-dentaires
-
Quiz final
-
- Unirse a este curso para acceder a recursos
-
Illustration clinique MIH
MIH
Une jeune patiente adulte se présente en consultation en raison d’un sourire dyschromié source de nombreux complexes qu’elle désire corriger.
À l’examen clinique, la patiente présente des taches à l’opacité délimitée, de différentes nuances colorimétriques au niveau des incisives maxillaires avec une structure amélaire hypominéralisée particulièrement poreuse sur 11 et 21 (Fig.1).
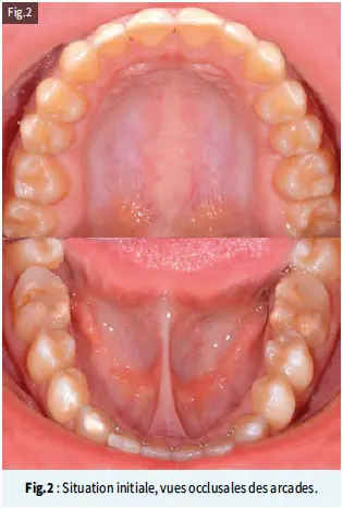
Les premières molaires mandibulaires de couleur brunâtre ont subi une dégradation post-éruptive, avec des restaurations en résine composite atypiques. On observe une asymétrie des défauts en ce qui concerne la localisation et le degré d’atteinte (Fig.2).
Le diagnostic différentiel doit être effectué avec toute autre anomalie touchant les structures amélaires.

No hay comentarios por ahora.
Compartir este contenido
Compartir enlace
Compartir en redes sociales
Compartir por correo electrónico
Por favor inicíe sesión para compartir este Artículo por correo electrónico.